Cincinnati Porcelain Crowns
When you need a crown, you need it to perform well, both functionally and aesthetically. As strong and long-lasting as they are beautiful and natural-looking, our porcelain crowns stand up to the test wonderfully. Cincinnati’s leading cosmetic dentist, Dr. Fred Peck, has helped numerous patients, including other dentists, protect the beauty of their smiles with all-ceramic restorations.
Our Crowns
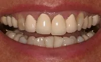
We use e.max crowns for their durability, strength, and high aesthetic value. Each crown is composed of a strong lithium disilicate core that is overlaid with beautiful porcelain to mimic the translucency, light reflectivity, and color variation of your natural tooth. The result is a crown that blends in seamlessly with your smile so that no one will be able to tell you’ve had dental work done.
What About Porcelain-Fused-to-Metal?
Before the invention of modern all-ceramic crowns, front teeth were restored with porcelain fused to metal. Many dentists, schooled in the older techniques, still use these porcelain fused to metal (PFM) crowns. These crowns have a metal core for strength, and porcelain is then baked over it. But PFM crowns, while they do look somewhat natural, have a couple of aesthetic drawbacks. We can illustrate that with a couple of photos.


Likewise, our ultra-strong crowns with their lithium disilicate core give you strong crowns without sacrificing strength or longevity of service.
Your Cosmetic Dentist
Dr. Fred Peck has been in practice for over 30 years. He is an Accredited Fellow of the American Academy of Cosmetic Dentistry, a distinction that has only been held by fewer than 100 dentists worldwide. His ceramist, who does the laboratory fabrication of his crowns, is also an Accredited Fellow of the AACD. Together, they have been creating beautiful smiles for decades. To learn more about Dr. Peck’s education and credentials, visit his profile page.
Restore Your Smile
If you’d like to replace your less-than-aesthetic restorations with beautiful ceramic ones, we would love to help you. Simply give us a call at (513) 621-7666 to schedule an appointment. Or feel free to request an appointment online, and we’ll contact you to schedule.
