Treating Enamel Hypoplasia
Posted by writeradmin
I have been embarrassed by my smile my entire life. I have enamel hypoplasia. I am finally in a financial position where I think I can do something about it. Unfortunately, when I went to see my dentist in order to get advice about the procedure, he told me that my teeth are healthy so he doesn’t think they need anything. Honestly, he made me feel a bit vain. Maybe I am, but people do judge us by our smiles and I feel mine is holding me back. Do you have any suggestions for me?
Jamie
Dear Jamie,
There are a couple of good options for treating enamel hypoplasia. Which you use will really depend on the severity of your particular case. Before we go into that, for the benefit of those who may have no idea what we are talking about, enamel hypoplasia is a condition when the tooth enamel does not form all the way. It can be caused by either a genetic defect or a disease that occurs while the teeth are still forming.
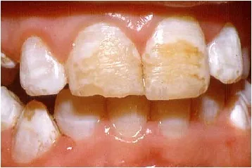
Mild Hypoplasia

If you have mild hypoplasia, like what you see in the image above, you could have dental bonding done to even out the color of the teeth. You will want your teeth to be a color you are pleased with because once the bonding is done, it can’t be made whiter without redoing it.
Once your teeth are the color you want, then you would be safe to go forward with the bonding. The dentist would remove the surface of the spots you are wanting to get rid of and then replace it with a high gloss composite.
Severe Enamel Hypoplasia

If your case is more severe, such as in this photo, dental bonding won’t work for you. Instead, I would suggest that you get porcelain veneers. These are tiny wafers of porcelain that can be placed over the surface of your teeth, completely changing the appearance of your smile.
In fact, veneers are what celebrities get when they want a complete smile makeover. They won’t just cover the unsightly spots, but can also change the shape, size, and color of your teeth.
You don’t want just any dentist doing these. They are highly advanced. I recommend that you use an expert cosmetic dentist. Unfortunately, there isn’t a recognized specialty in cosmetic dentistry. Any general dentist can do cosmetic dentistry regardless of whether or not they’ve done any post-doctoral training in how to do them well. You will need real expertise with significant post-doctoral training as well as artistry.
I would only allow a dentist who is accredited with the American Academy of Cosmetic Dentistry (AACD). Dentists who are AACD accredited are the top cosmetic dentists in the country. An accredited fellow (FAACD) is even more advanced. I would look for someone with those qualifications. Then, you’ll end up with a smile you will be proud to share.
This blog is brought to you by an advanced cosmetic dentist in Cincinnati Dr. Fred Peck.
